微信微博手机网站

德伦logo

连锁绽放

来院路线

  • 德伦首页|
  • 品牌文化|
  • 牙齿矫正|
  • 牙齿种植|
  • 牙齿修复|
  • 口腔内科|
  • 口腔外科|
  • 儿童齿科|
  • 专家团队|
  • 在线预约

您的位置: > 儿童齿科中心 > 蛀牙(龋齿) >

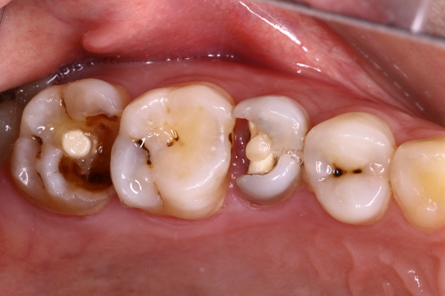
孩子的乳牙出现“小黑点”,需要进行治疗吗?

发表于:2023-07-25 来源:德伦口腔 编辑:徐编 点击:次

孩子有小蛀牙,需要治疗吗?乳牙早晚都会掉,不用补吧?上述观点是不正确的!有数据显示,儿童龋齿的患病率比我们想的要高很多。根据第四次全国口腔健康流行病学调查显示,5岁儿童乳牙龋患率为70.9%,比十年前上升了5.8个百分点,儿童患龋情况呈现上升态势。
 
所以,爸爸妈妈们千万不要以为乳牙都会被替换成恒牙,就不重视孩子牙齿健康。


 
蛀牙是什么?
 
龋病俗称“蛀牙”、“虫牙”,其实是一种细菌性的疾病,发病率比较高,分布也很广,可能会引起牙髓炎、根尖周炎等常见口腔疾病。
 
根据患病严重程度不同,龋齿有浅、中、深三个阶段。而根据患病的类型不同龋齿又可以分为慢性龋、急性龋、静止性龋、继发性龋等,其中急性龋常常发生在儿童以及青少年、孕妇等人群。

 
为什么小朋友容易蛀牙?
 
龋病的发展其实是一个缓慢的过程,不管是初期菌斑的形成,还是后期龋洞的形成,都需要一定的时间。小朋友乳牙容易发生龋坏主要是以下几点:
 
01.乳牙的组织结构特点
 
小朋友的乳牙同恒牙相比钙化程度比较差,表面不如恒牙坚硬,对细菌腐蚀的抵抗能力也差,易被虫蛀。


 
02.食物类型
 
小朋友常喜欢吃甜食,供细菌利用的碳水化合物就多,加上儿童不易养成定时刷牙的习惯,如果清洁口腔的工作不及时或不正确,食物的残渣更容易留在口腔,特别是粘在牙面和塞在牙缝里,这就为长蛀牙提供了条件。


 
03.口腔自洁作用差
小朋友睡眠时间相对较长,睡眠过程中唾液分泌减少,自洁作用差,易于细菌繁殖。
04.家长不够重视
家长未能及时帮助或引导小朋友刷牙,食物残渣、菌斑软垢积存在牙面上,容易蛀牙。
 
如何预防蛀牙?
 
01.养成科学的刷牙习惯:
 
首先“工具”应该选到位。1岁以前,乳牙处于萌生阶段,可以用医用纱布或者指套牙刷,沾水轻轻擦拭即可。1岁以后,因为辅食开始多样化,龋齿的可能性增加,这个时候可以选用适当的软毛牙刷。


 
其次是正确的刷牙方法。目前公认的科学刷牙方法是“巴氏刷牙法”,它有三个需要牢记的要点:
 
·牙刷斜 45 度,放在牙齿和牙龈交界处,轻轻震颤。
 
·每天刷牙两次,每次至少 2 分钟。
 
·每个牙面都要刷,别忘了刷舌头。


 
02.牙齿涂氟:
 
小朋友在三岁左右,家长就可以给孩子的牙齿进行“涂氟”保护,这就相当于给孩子的牙齿穿上一层特殊的“防弹背心”,有效的减少蛀牙的发生。


 
03.窝沟封闭:
 
牙齿上有很多深的窝沟,容易藏污纳垢,成为细菌的“加工厂”,窝沟封闭是用流动性的封闭剂涂布在牙面的窝沟上,使很深的窝沟变成较为平缓的窝沟,这样小朋友就可以轻易的清理牙齿了。

 
04.定期口腔检查:
 
小朋友是口腔疾病的高发人群,为及时了解他们的口腔健康状况,家长应每六个月带孩子进行一次口腔健康检查,口腔问题早发现、早治疗。
 
方法虽简单,但坚持更重要,家长们要多多关注口腔保健知识,帮助孩子从小养成爱牙护齿的好习惯。
 


如果您还有其它问题,可以在线咨询德伦口腔专家为您解答相关口腔问题,您也可以拨打全国热线电话 020-83782905 咨询,德伦口腔专家会竭尽所能的帮助您。在线咨询德伦儿牙专家>>>

热点推荐

Recommended

• 关于宝宝的护牙小知识
• 奶瓶龋,谁的错?
• 孩子的牙为什么会黑?
• 儿童龋齿率超7成,这样预防是关
• 导致孩子牙不好的原因,作为家长
• 在孩子7岁前一定要关注这颗牙齿
• 容易忽视的儿童乳牙问题,你知道
• 孩子的乳牙真的不重要吗?
  • 上一篇:宝宝乳牙龋坏,真的不用管吗?
  • 下一篇:保护儿牙健康,这些常识家长要知道
返回列表

分享至

  • 关于德伦|
  • 院点导航|
  • 人才招聘|
  • 坐车路线|
  • 网站地图|
  • 联系我们|
  • 隐私声明
  • 德伦口腔诊疗项目
  • 数智种植牙
  • 无牙颌舒适种植
  • 数字化牙齿矫正
  • 数字化隐形矫正
  • 舌侧隐形矫正
  • 瓷玉雕美牙贴面
  • 牙齿美容修复
  • 显微根管治疗
  • 牙周综合治疗
  • 微创智齿拔除
  • 微创舒适拔牙

广州东风总院(医保定点单位)    电话:020-83782905
地址:广州市越秀区东风中路418号华以泰国际大厦4、17、18、19、22楼(正骨医院对面)

[粤卫网审字(2011)第83号] 粤ICP备11073526号
医疗广告审查证明文号:粤(A)广(2024)第1332号
本网站信息仅供参考,不能作为诊疗及医疗依据
广州市德伦口腔门诊部有限公司 版权所有

关注德伦口腔官方微信
  • 德伦首页
  • 德伦品牌
  • 牙科项目
  • 专家团队
  • 儿童口腔
  • 爱牙工程
  • 德伦环境
  • 分院导航

您的位置: > 儿童齿科中心 > 蛀牙(龋齿) >

孩子的乳牙出现“小黑点”,需要进行治疗吗?
2023-07-25 17:24来源:德伦口腔点击:次
孩子有小蛀牙,需要治疗吗?乳牙早晚都会掉,不用补吧?上述观点是不正确的!有数据显示,儿童龋齿的患病率比我们想的要高很多。根据第四次全国口腔健康流行病学调查显示,5岁儿童乳牙龋患率为70.9%,比十年前上升了5.8个百分点,儿童患龋情况呈现上升态势。
 
所以,爸爸妈妈们千万不要以为乳牙都会被替换成恒牙,就不重视孩子牙齿健康。


 
蛀牙是什么?
 
龋病俗称“蛀牙”、“虫牙”,其实是一种细菌性的疾病,发病率比较高,分布也很广,可能会引起牙髓炎、根尖周炎等常见口腔疾病。
 
根据患病严重程度不同,龋齿有浅、中、深三个阶段。而根据患病的类型不同龋齿又可以分为慢性龋、急性龋、静止性龋、继发性龋等,其中急性龋常常发生在儿童以及青少年、孕妇等人群。

 
为什么小朋友容易蛀牙?
 
龋病的发展其实是一个缓慢的过程,不管是初期菌斑的形成,还是后期龋洞的形成,都需要一定的时间。小朋友乳牙容易发生龋坏主要是以下几点:
 
01.乳牙的组织结构特点
 
小朋友的乳牙同恒牙相比钙化程度比较差,表面不如恒牙坚硬,对细菌腐蚀的抵抗能力也差,易被虫蛀。


 
02.食物类型
 
小朋友常喜欢吃甜食,供细菌利用的碳水化合物就多,加上儿童不易养成定时刷牙的习惯,如果清洁口腔的工作不及时或不正确,食物的残渣更容易留在口腔,特别是粘在牙面和塞在牙缝里,这就为长蛀牙提供了条件。


 
03.口腔自洁作用差
小朋友睡眠时间相对较长,睡眠过程中唾液分泌减少,自洁作用差,易于细菌繁殖。
04.家长不够重视
家长未能及时帮助或引导小朋友刷牙,食物残渣、菌斑软垢积存在牙面上,容易蛀牙。
 
如何预防蛀牙?
 
01.养成科学的刷牙习惯:
 
首先“工具”应该选到位。1岁以前,乳牙处于萌生阶段,可以用医用纱布或者指套牙刷,沾水轻轻擦拭即可。1岁以后,因为辅食开始多样化,龋齿的可能性增加,这个时候可以选用适当的软毛牙刷。


 
其次是正确的刷牙方法。目前公认的科学刷牙方法是“巴氏刷牙法”,它有三个需要牢记的要点:
 
·牙刷斜 45 度,放在牙齿和牙龈交界处,轻轻震颤。
 
·每天刷牙两次,每次至少 2 分钟。
 
·每个牙面都要刷,别忘了刷舌头。


 
02.牙齿涂氟:
 
小朋友在三岁左右,家长就可以给孩子的牙齿进行“涂氟”保护,这就相当于给孩子的牙齿穿上一层特殊的“防弹背心”,有效的减少蛀牙的发生。


 
03.窝沟封闭:
 
牙齿上有很多深的窝沟,容易藏污纳垢,成为细菌的“加工厂”,窝沟封闭是用流动性的封闭剂涂布在牙面的窝沟上,使很深的窝沟变成较为平缓的窝沟,这样小朋友就可以轻易的清理牙齿了。

 
04.定期口腔检查:
 
小朋友是口腔疾病的高发人群,为及时了解他们的口腔健康状况,家长应每六个月带孩子进行一次口腔健康检查,口腔问题早发现、早治疗。
 
方法虽简单,但坚持更重要,家长们要多多关注口腔保健知识,帮助孩子从小养成爱牙护齿的好习惯。
 


如果您还有其它问题,可以在线咨询德伦口腔专家为您解答相关口腔问题,您也可以拨打全国热线电话 020-83782905 咨询,德伦口腔专家会竭尽所能的帮助您。在线咨询德伦儿牙专家>>>
牙齿问题在线咨询 020-8378 2905

网上自助挂号

患者
须知

贯彻国家卫生部新医改政策,严格落实解决挂号难、看病难问题,开展网络自助预约挂号服务。

选择科室*

  • 种植科
  • 正畸科
  • 综合牙科
  • 儿童齿科

选择年龄*

  • 18岁以下
  • 18-30岁
  • 30-50岁
  • 50岁以上

口腔连锁品牌

  • 首页
  • 项目
  • 顶部

专家预约热线:020-8378 2905
本网站信息仅供参考,不能作为诊疗及医疗依据
广州德伦口腔 粤ICP备11073526号