微信微博手机网站

德伦logo

连锁绽放

来院路线

  • 德伦首页|
  • 品牌文化|
  • 牙齿矫正|
  • 牙齿种植|
  • 牙齿修复|
  • 口腔内科|
  • 口腔外科|
  • 儿童齿科|
  • 专家团队|
  • 在线预约

您的位置: > 口腔正畸中心 > 牙齿不齐 >

做矫正要不要拔牙?要先看看这些情况

发表于:2023-07-30 来源:德伦口腔 编辑:徐编 点击:次

身边不少正处于牙齿矫正期的朋友,都会跟你说在正式带牙套之前,都拔过牙齿。你可能就想知道:为什么戴个牙套也要拔牙?拔了牙会有什么效果?
 
 
今天咱们就来仔细聊聊关于牙齿矫正拔牙这回事。
 
为什么要拔牙?
 
因为位置不够了。
 
在进化的过程中,经过十几万年的进化繁衍,人类的脑容量越来越大。但是,头盖骨变大的同时,上下颌骨的体积却变得越来越小。
 
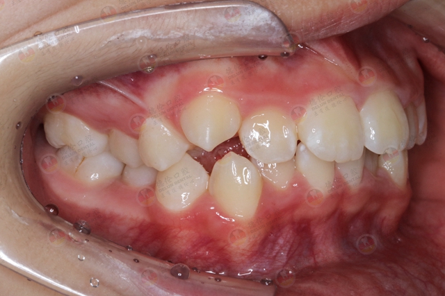
本来一个萝卜一个坑,每颗牙齿都都有自己的位置。但是随着上下颌骨的面积缩小,原本安安分分的牙齿不得不挤在一起。导致32颗牙齿不能整齐地排列在一起。
 
 
因此,这些挤在一起的牙齿就很容易出现牙列拥挤、龅牙或者是地包天等畸形症状。因此,拔牙就是拔掉将影响矫正效果的多余牙齿。
 
不过,拔牙矫正也要充分考虑牙齿畸形的类型,牙齿的拥挤程度、门牙的“唇倾”程度、侧面的美学关系、上下颌骨之间的突出程度、你的牙周是否健康等等的因素。并不是简单的拔个牙、戴副牙套就能将牙齿排整齐。
 


 
不拔牙就矫正会怎样?
 
牙列拥挤的情况下,不拔牙强行做矫正会让牙齿看起来“散出去”。原本正常的侧脸反而被破坏,嘴巴部分看上去突出去,说话或者笑的时候会有“满嘴都是牙齿”的感觉。
 
一下子拔4颗会不会拔太多?
 
我们口腔内通常有28-32颗恒牙,在拔牙矫正的案例中,通常会拔掉上下左右各1颗尖牙。
 
有的朋友会觉得一下子拔掉4颗有点多。实际上,我们的每颗牙齿都是相互对应的(部分智齿除外),上下牙齿相互协作,共同实现咀嚼功能,保证整个口腔形状的对称和美观。
 

 
如果仅仅只是拔掉其中的一两颗牙,在后期矫正关闭间隙的时候,就会导致整个牙齿的中线不对齐、牙弓偏斜,乃至咀嚼功能出现异常,甚至造成整个面部的歪斜。
 
能不能只拔掉歪的那颗?
 
大多数小伙伴的牙齿不齐,会出现在“虎牙”等尖牙位置。因为虎牙的萌出时间比较晚,所以在牙齿拥挤的情况下会没有位置给尖牙正常生长空间。
 
 
然而,“虎牙”在嘴巴、面容美观方面起到了关键作用。其中一个重要作用就是支撑面部的饱满度,在你微笑的时候会露出6颗前牙,形成一道弧线。而非一条死板的直线。如果虎牙过度前突,可以通过矫正治疗,让尖牙重新摆正。

如果您还有其它问题,可以在线咨询德伦口腔专家为您解答相关口腔问题,您也可以拨打全国热线电话 020-83782905 咨询,德伦口腔专家会竭尽所能的帮助您。在线咨询德伦口腔专家>>>

热点推荐

Recommended

• 那么多矫治器,哪一款才是适合自
• 戴钢牙怎样刷牙?学会这几点很简
• 矫牙时做好这5点,牙齿整齐又干
• 成年后再矫正牙齿,到底值不值得
• 如何缩短矫正牙齿的时间?
• 烤瓷牙和牙齿矫正只能二选一吗?
• 成年人还有必要做矫牙吗?
• 矫牙前,这五个问题得问清楚
  • 上一篇:牙齿矫正的这几个黄金时机,你抓住了吗?
  • 下一篇:注意这几点,牙齿矫正的效果能更好
返回列表

分享至

  • 关于德伦|
  • 院点导航|
  • 人才招聘|
  • 坐车路线|
  • 网站地图|
  • 联系我们|
  • 隐私声明
  • 德伦口腔诊疗项目
  • 数智种植牙
  • 无牙颌舒适种植
  • 数字化牙齿矫正
  • 数字化隐形矫正
  • 舌侧隐形矫正
  • 瓷玉雕美牙贴面
  • 牙齿美容修复
  • 显微根管治疗
  • 牙周综合治疗
  • 微创智齿拔除
  • 微创舒适拔牙

广州东风总院(医保定点单位)    电话:020-83782905
地址:广州市越秀区东风中路418号华以泰国际大厦4、17、18、19、22楼(正骨医院对面)

[粤卫网审字(2011)第83号] 粤ICP备11073526号
医疗广告审查证明文号:粤(A)广(2024)第1332号
本网站信息仅供参考,不能作为诊疗及医疗依据
广州市德伦口腔门诊部有限公司 版权所有

关注德伦口腔官方微信
  • 德伦首页
  • 德伦品牌
  • 牙科项目
  • 专家团队
  • 儿童口腔
  • 爱牙工程
  • 德伦环境
  • 分院导航

您的位置: > 口腔正畸中心 > 牙齿不齐 >

做矫正要不要拔牙?要先看看这些情况
2023-07-30 11:30来源:德伦口腔点击:次
身边不少正处于牙齿矫正期的朋友,都会跟你说在正式带牙套之前,都拔过牙齿。你可能就想知道:为什么戴个牙套也要拔牙?拔了牙会有什么效果?
 
 
今天咱们就来仔细聊聊关于牙齿矫正拔牙这回事。
 
为什么要拔牙?
 
因为位置不够了。
 
在进化的过程中,经过十几万年的进化繁衍,人类的脑容量越来越大。但是,头盖骨变大的同时,上下颌骨的体积却变得越来越小。
 
本来一个萝卜一个坑,每颗牙齿都都有自己的位置。但是随着上下颌骨的面积缩小,原本安安分分的牙齿不得不挤在一起。导致32颗牙齿不能整齐地排列在一起。
 
 
因此,这些挤在一起的牙齿就很容易出现牙列拥挤、龅牙或者是地包天等畸形症状。因此,拔牙就是拔掉将影响矫正效果的多余牙齿。
 
不过,拔牙矫正也要充分考虑牙齿畸形的类型,牙齿的拥挤程度、门牙的“唇倾”程度、侧面的美学关系、上下颌骨之间的突出程度、你的牙周是否健康等等的因素。并不是简单的拔个牙、戴副牙套就能将牙齿排整齐。
 


 
不拔牙就矫正会怎样?
 
牙列拥挤的情况下,不拔牙强行做矫正会让牙齿看起来“散出去”。原本正常的侧脸反而被破坏,嘴巴部分看上去突出去,说话或者笑的时候会有“满嘴都是牙齿”的感觉。
 
一下子拔4颗会不会拔太多?
 
我们口腔内通常有28-32颗恒牙,在拔牙矫正的案例中,通常会拔掉上下左右各1颗尖牙。
 
有的朋友会觉得一下子拔掉4颗有点多。实际上,我们的每颗牙齿都是相互对应的(部分智齿除外),上下牙齿相互协作,共同实现咀嚼功能,保证整个口腔形状的对称和美观。
 

 
如果仅仅只是拔掉其中的一两颗牙,在后期矫正关闭间隙的时候,就会导致整个牙齿的中线不对齐、牙弓偏斜,乃至咀嚼功能出现异常,甚至造成整个面部的歪斜。
 
能不能只拔掉歪的那颗?
 
大多数小伙伴的牙齿不齐,会出现在“虎牙”等尖牙位置。因为虎牙的萌出时间比较晚,所以在牙齿拥挤的情况下会没有位置给尖牙正常生长空间。
 
 
然而,“虎牙”在嘴巴、面容美观方面起到了关键作用。其中一个重要作用就是支撑面部的饱满度,在你微笑的时候会露出6颗前牙,形成一道弧线。而非一条死板的直线。如果虎牙过度前突,可以通过矫正治疗,让尖牙重新摆正。

如果您还有其它问题,可以在线咨询德伦口腔专家为您解答相关口腔问题,您也可以拨打全国热线电话 020-83782905 咨询,德伦口腔专家会竭尽所能的帮助您。在线咨询德伦口腔专家>>>
牙齿问题在线咨询 020-8378 2905

网上自助挂号

患者
须知

贯彻国家卫生部新医改政策,严格落实解决挂号难、看病难问题,开展网络自助预约挂号服务。

选择科室*

  • 种植科
  • 正畸科
  • 综合牙科
  • 儿童齿科

选择年龄*

  • 18岁以下
  • 18-30岁
  • 30-50岁
  • 50岁以上

口腔连锁品牌

  • 首页
  • 项目
  • 顶部

专家预约热线:020-8378 2905
本网站信息仅供参考,不能作为诊疗及医疗依据
广州德伦口腔 粤ICP备11073526号